Chipped Crown Tooth: What You Should Do Next

0
1K

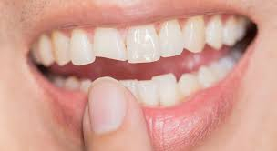
A Chipped Crown Tooth can be alarming, painful, and stressful, especially when it affects your bite or smile. Dental crowns are designed to protect weakened teeth, but like natural enamel, they can also chip, break, or crack under certain conditions. Understanding what causes this damage and what steps you should take next is essential to preventing further complications and restoring your oral health.

When a crown chips, the damage may appear small on the surface, but the risks underneath can be significant—exposed tooth structure, increased sensitivity, infection risk, and even structural damage to the remaining natural tooth. Knowing how to respond quickly can help you avoid more serious issues and ensure effective treatment options.

The information you’ll find here is based on trusted dental advice today, supported by current best practices and professional insights that help guide patients toward safe and effective dental care.

Understanding Why Dental Crowns Chip

Dental crowns are strong, but they are not indestructible. Several everyday factors can contribute to a chipped or cracked crown. Identifying the cause helps prevent future damage.

1. Biting Down on Hard Foods

Foods like ice, nuts, hard candy, and popcorn kernels can exert excessive pressure on crowns. Porcelain and ceramic crowns, though highly aesthetic, are more prone to small fractures under abrupt biting force.

2. Teeth Grinding (Bruxism)

Clenching or grinding your teeth—especially during sleep—can weaken the crown structure over time. Many people are unaware they grind teeth at night, making crowns more vulnerable.

3. Trauma or Impact

Accidents, sports injuries, or even biting incorrectly on something unexpectedly hard can lead to a sudden chip.

4. Age and Wear

Crowns typically last 10–15 years, depending on material and care. Normal wear and tear can weaken the structure, making it more susceptible to chipping.

Immediate Steps to Take After Chipping a Crown

Acting quickly and calmly makes a huge difference in preventing further damage or discomfort.

1. Assess the Situation

Check how severe the chip is:

  • Is it small or large?

  • Is the tooth underneath exposed?

  • Are you experiencing sensitivity or pain?

A small chip may not cause immediate discomfort, but larger fractures almost always require urgent attention.

2. Rinse and Clean the Area

Use warm water to gently rinse your mouth. This removes debris and reduces the risk of irritation or infection.

3. Save Any Broken Pieces

If a chunk of the crown has fallen off, place the piece in a clean container. Your dentist may be able to reattach it, depending on the condition and the crown material.

4. Protect the Tooth Temporarily

Use dental wax or sugar-free gum to cover any sharp or broken edges preventing cuts to your tongue or cheek.

5. Avoid Chewing on That Side

This prevents further damage and avoids discomfort until you can see a dentist.

Common Symptoms of a Chipped Crown

A chipped crown may not always be painful, but certain symptoms indicate the need for prompt dental attention.

1. Sharp or Rough Edges

These can irritate the cheek, lips, or tongue.

2. Sensitivity

Sudden sensitivity to hot, cold, or sweet foods may mean the underlying tooth structure is exposed.

3. Pain or Discomfort

Pain signals that the natural tooth or nerve may be affected.

4. Changes in Bite Alignment

If the crown no longer fits correctly, it can alter your bite, leading to jaw pain or further tooth damage.

Professional Treatment Options for a Chipped Crown

Dentists offer several treatment options based on the severity and type of dental crown you have.

1. Crown Smoothing and Polishing

For minor chips, smoothing the area may be enough. This eliminates sharp edges and prevents further wear.

2. Dental Bonding

Small fractures can sometimes be repaired using composite bonding material, restoring function and appearance.

3. Partial Crown Repair

Some crowns allow for sectional repair when only part of the structure is damaged.

4. Full Crown Replacement

If the chip is large or the crown is old, replacement is often the safest and most durable option. Modern materials provide improved strength and aesthetics.

5. Addressing Underlying Problems

If the tooth beneath the crown has additional decay, cracks, or infection, your dentist may:

  • Rebuild the tooth structure

  • Perform a root canal

  • Replace the crown completely

When a Chipped Crown Is Considered an Emergency

Not every crown chip is an emergency, but certain situations require immediate care.

Emergency situations include:

  • Severe pain

  • Exposed tooth structure

  • Bleeding or signs of infection

  • Crown completely detached

  • Difficulty chewing or closing your mouth properly

If any of these occur, contact your dentist right away. Delaying treatment can lead to serious complications.

How Dentists Diagnose Crown Damage

A proper evaluation includes:

  1. Visual examination – to assess the extent of the chip

  2. X-rays – to check for internal tooth damage or decay

  3. Bite analysis – to examine alignment issues

  4. Material assessment – to determine whether the crown is repairable

This thorough approach ensures the right treatment plan and long-term protection for the tooth.

Why You Should Not Ignore a Chipped Crown

Ignoring a damaged crown can cause multiple dental issues such as:

  • Tooth decay spreading beneath the crown

  • Infection requiring a root canal

  • Damage to surrounding teeth

  • Increased sensitivity and pain

  • Compromised bite alignment

Early intervention is always the easiest, safest, and most cost-effective approach.

How to Prevent Crown Chipping in the Future

Prevention is key to ensuring your dental crown lasts for many years.

1. Avoid Hard and Sticky Foods

Chewing on ice or sticky candies increases fracture risk.

2. Wear a Night Guard

If you grind your teeth, a custom night guard offers essential protection.

3. Practice Good Oral Hygiene

Brush twice daily, floss, and schedule regular cleanings to prevent decay around the crown base.

4. Use Proper Sports Protection

A mouthguard can prevent trauma during contact sports.

5. Replace Old Crowns on Time

Worn-down crowns are more prone to chipping. Routine exams help your dentist spot aging materials before they fail.

What to Expect During a Crown Replacement

If you require a new crown, the process typically includes:

1. Numbing and Removal

Your dentist removes the damaged crown and prepares the tooth underneath.

2. Impression or Digital Scan

A precise mold or scan ensures a perfect fit for your new crown.

3. Temporary Crown Placement

A temporary crown protects the tooth while the permanent one is fabricated.

4. Final Crown Placement

At the second visit, the dentist checks the fit, makes adjustments, and cements the new crown securely.

Modern techniques and materials provide better comfort and durability than older crowns.

How Long Should a Crown Last After Repair?

Properly repaired or replaced crowns usually last:

  • 10–15 years for porcelain crowns

  • 10+ years for ceramic crowns

  • 15–20 years for metal or porcelain-fused-to-metal crowns

Longevity depends on:

  • Oral hygiene

  • Bite habits

  • Crown material

  • Regular dental checkups

Final Tips for Keeping Your Smile Safe

A chipped crown may be unexpected, but with timely action and proper care, you can avoid complications and maintain a healthy, confident smile.

Key reminders:

  • Don’t ignore small chips—they often worsen.

  • Seek dental care as soon as possible.

  • Follow preventive measures to protect future dental work.

If you stay proactive, address issues early, and maintain good oral habits, your crowns can serve you well for many years to come.

 

Zoeken
Categorieën
Read More
Health
Aged Care Lilyvale | Compassionate Support & Quality Living
Our Aged Care Lilyvale services provide compassionate, high-quality support for seniors seeking...
By rawrsupportservices 2026-01-19 09:45:25 0 1K
Other
Activated Carbon Market Size, Share, Trends, Key Drivers, Demand and Opportunity Analysis
"Regional Overview of Executive Summary Activated Carbon Market by Size and Share The...
By kajal 2025-11-11 10:21:35 0 3K
Other
Bakery Processing Equipment Market Size, Share, Trends, Key Drivers, Demand and Opportunity Analysis
"Executive Summary Bakery Processing Equipment Market Trends: Share, Size, and Future...
By kajal 2025-11-10 08:19:58 0 1K
Other
Soar to the Sky of Britain with IRCTC Air and Get the Best Delhi to UK flight Deals
The United Kingdom is one of the most popular destinations among Indians. Work, studies, or...
By irctcair21 2026-02-02 09:58:56 0 20K
Spellen
StrongVPN Netflix Blocked – Fix Proxy Errors Fast
Netflix actively blocks many VPN services to enforce regional content restrictions StrongVPN...
By jiabinxu80 2025-12-15 03:50:28 0 633
Tag In Time https://tagintime.com